📝「朝起きて最初の一歩が痛い…」 「長時間立っていると、かかとがズキズキする…」
そんなお悩み、ありませんか? それはもしかすると「踵骨棘(しょうこつきょく)」が原因かもしれません。
今回は、私の視点から「踵骨棘」の原因とリハビリ・ケア方法について、解説します。
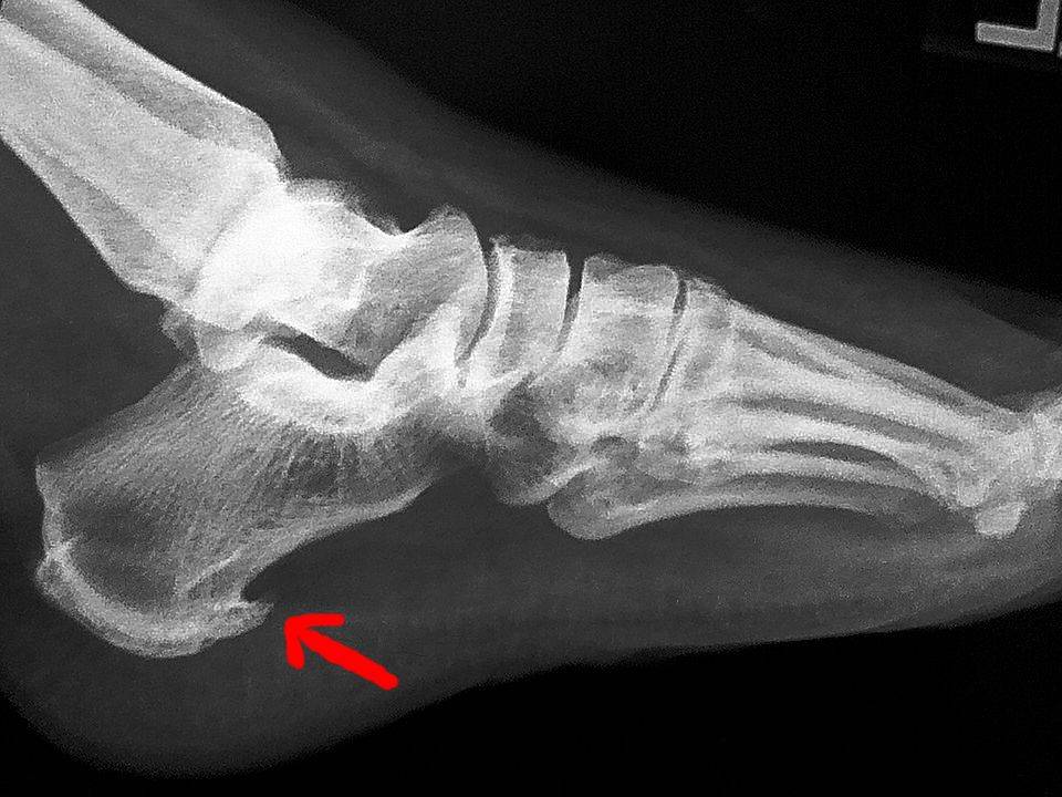
1. 🦴 踵骨棘とは?

踵骨棘とは、かかとの骨(踵骨)にトゲのような骨の突起ができる状態です。 この骨棘自体が痛みの原因になることもありますが、多くの場合は足底筋膜炎が関係しています。
足底筋膜が硬くなったり炎症を起こしたりすると、骨が引っ張られて骨棘が形成されやすくなります。
2. 🔍 なぜ痛みが出るのか?
- 足底筋膜が硬くなることで、かかとの骨を引っ張る
- 骨棘が周囲の組織を刺激する
- 長時間の立ち仕事や歩行で負担が蓄積
- クッション性のない靴や裸足での生活
3. 🧭 基本方針
- 痛みの軽減:炎症を抑える
- 柔軟性の改善:足底筋膜・ふくらはぎのストレッチ
- 筋力強化:足のアーチを支える筋肉を鍛える
- 生活習慣の見直し:靴・体重・歩き方
4. 🏠 自宅でできるリハビリメニュー
① 足底筋膜ストレッチ

- 座って足の指を反らせ、足裏を伸ばす
- 30秒×2セット
② スクワット(大腿四頭筋の強化)

- 膝関節をまげるのではなく、股関節からまげていきましょう。
- 太ももの前を意識して20回を行います。
③ カーフレイズ(遠心性収縮)

- 壁に手をついて、かかとを床からあげる。
- 踵をあげたら、ゆっくりかかとをおろしてくこと20回
④ アキレス腱ストレッチ

- 腓腹筋やヒラメ筋をのばす。
- 30秒程度欠ける2セット
5. 🧊 痛みが強いときの対処法
- 氷で冷却(10〜15分)
- 安静にする(無理な運動は避ける)
- クッション性のある靴やインソールを使用
6. 🔁 再発予防のポイント
- ストレッチを習慣化
- 靴の見直し(かかとにクッションがあるもの)
- 長時間の立ち仕事はこまめに休憩
7. 📝 まとめ
踵骨棘の痛みは、日々のケアとリハビリで改善できます。 「痛みがあるから動かさない」ではなく、正しい方法で動かすことが回復への近道です。
このような対処をしてもなかなか改善しない方、方法がわからないかたはニューロライフまでご連絡ください。

